+

Fractures and soft tissue injuries

Hip fracture

Hip fractures are a common injury in the elderly population and are the most common cause of osteoporosis-related hospitalization. They are caused by a fall or a car accident and can lead to permanent disability.

A hip fracture is a traumatic injury that occurs when the femur, or thigh bone, breaks into two pieces due to an impact on the hip joint. The injury can lead to chronic pain and disability, as well as death if not treated promptly.

Immediate assessment followed by resuscitation of patient physiology has been demonstrated in several scientific studies to have a significant impact on the outcome of hip fracture treatment.

Most hip fractures require surgical intervention from specialists such as Dr Darshan Angadi to restore the hip joint alignment / function and help the patient regain mobility. Dr Darshan Angadi uses a multi-disciplinary team (MDT) approach in the management of these severe injuries in the elderly patients who need careful treatment planning for successful procedures

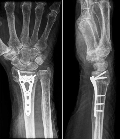
Upper limb fractures and dislocations

Upper limb refers to part of our body starting from the shoulder upto the fingers in our hands. As we use the arms and hands for routine and recreational activities like sports, they are prone for several injuries including fractures (break in the bone) or dislocations (loss of alignment of joints like shoulder / elbow) resulting in sever pain and sometimes risk to the arm / hand survival.

Rapid diagnosis and immediate treatment from a specialist like Dr Darshan Angadi who is well experienced in managing these injuries is crucial to prevent the risk of long-term complications that can occur from damage to nerve / tendon / artery or cartilage.

Lower limb fractures and dislocations

Lower limb refers to the part of our body starting from the hips upto the toes in our feet. This part of our body helps us to walk, run and in our day-to-day movement and activities. Hence injuries to the structures in our thigh / leg / feet is common. Knee and ankle joint dislocations are seen in high velocity road traffic collisions and are extremely serious injuries with potential risk of loss of limb from amputation.

Management of lower limb fractures and dislocations needs a systematic approach with thorough evaluation of all the factors to help provide the best treatment to the patients. Treatment depends on the type and severity of trauma and can involve medications such as painkillers, splints / braces and surgery to treat the injury to the bone and soft tissues.

Muscle tears and haematomas

Muscles of our body perform several vital functions such as helping us walk, stand and general mobility. In other scenarios like sports where extreme performance of the muscles is undertaken injuries such as muscle tears are common. Haematoma is a type of swelling in the soft tissues that are caused by bleeding.

Muscle tears and haematomas can cause severe pain, swelling, redness, limited mobility and in some cases difficulty to weightbear and walk.

Initial treatment can include rest, ice packs, limb elevation as appropriate and analgesia. However, when symptoms do not subside or in complex injuries, a systematic assessment from sports injury experts is important to prevent secondary complications like scarring, contracture and chronic pain. Apart from conventional treatment Dr Darshan Angadi uses image guided therapies in some cases to help restore the muscle function and ensure pain free recovery.

Ligament injuries and sprains

Ligaments are vital structures in our body that connect two bony parts. Hence, they are very important in joint stability and function. Ligaments are prone to injuries and sprains during routine activities or from sports like cricket, football, hockey, rugby etc.

Ligament injuries can result in pain, swelling and restriction in joint movement. In some cases, instability can occur and contribute to weakness and poor balance.

Following a suspected ligament injury, it is often advised to take rest, apply hot/cold compress, elevate the limb as needed and medications in the form of anti-inflammatories. Definitive treatment of ligament injuries requires a good clinical evaluation from a specialist. Subsequently tests and scans may be needed to accurately grade the severity of injury and start precise treatment plan.

Book Appointment